D2CP
El escáner de ultrasonido portátil con doble sonda es una solución avanzada diseñada para ofrecer máxima versatilidad en cualquier entorno clínico. Con el tamaño más compacto del mercado y un diseño ultraligero, este dispositivo puede sostenerse fácilmente con una mano, transportarse en el bolsillo del profesional y utilizarse en consultas, urgencias o visitas domiciliarias. Su doble sonda integrada permite realizar exploraciones de cuerpo completo, desde evaluaciones craneales y cardíacas hasta estudios abdominales y de extremidades, sin necesidad de cambiar equipos.
Gracias a su carga inalámbrica, ofrece total libertad de movimiento y disponibilidad continua durante la jornada. Su calidad de imagen de nivel clínico garantiza diagnósticos rápidos y confiables, incluso en escenarios POCUS o de atención en terreno. Compatible con tablets y smartphones, facilita el almacenamiento, transmisión y análisis de imágenes de forma intuitiva.
Ideal para médicos generales, urgenciólogos, kinesiólogos, anestesiólogos, veterinarios y profesionales que requieren movilidad absoluta, este ecógrafo de bolsillo combina rendimiento avanzado, ergonomía y tecnología inalámbrica moderna, convirtiéndose en una herramienta esencial para el diagnóstico inmediato.
Especificación
| Modelo | D2CP |
| Tipo de sonda | Sonda en fase + Sonda lineal |
| Ángulo/longitud de escaneo | Convexo 80, Lineal 25 mm |
| Frecuencia | Sonda en fase de 2,2/3,6 MHz, sonda lineal de 7,5/10 MHz |
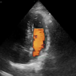
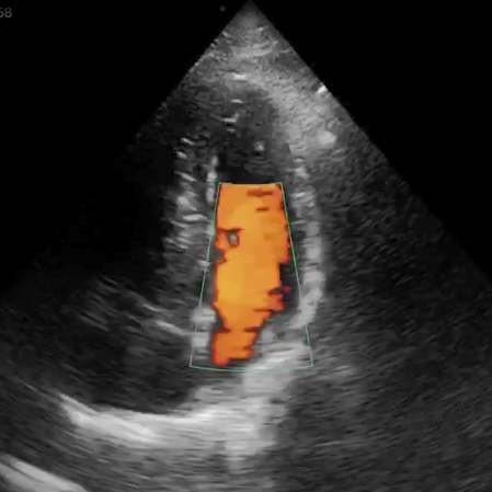
| Modo de escaneo | B, B/M, Color, PW |
| Profundidad de la pantalla | Fase 90~190 mm, lineal 20~100 mm |
| Ajuste de imagen | Ganancia, Profundidad, DR, Enfoque, SRI |
| Medida | Longitud, área, velocidad, FC, S/D, LVIDd, LVIDs, EF, SV, medición automática del vaso (TAMEAN, caudal, diámetro) |
| Función de asistencia en caso de pinchazo | Línea guía de punción en el plano, línea guía de punción fuera del plano, mejora de la aguja |
| Velocidad de fotogramas de la imagen | 24 fotogramas por segundo |
| Cinplay | >50 años |
| Guardar imagen | JPG, DICOM, mp4 |
| Fuerza | Batería de litio incorporada, carga inalámbrica o USB 1,5 h, trabajo continuo 1,5 h |
| Sistema de trabajo | iOS, Android, Windows |
| Tipo de wifi | 802.11n/2.4G/5G |
| Dimensión | 126x53x19mm |
| Peso | 150 gramos |

El rey de la relación calidad-precio en sondas de ultrasonido portátiles
• Máxima rentabilidad: Los estudiantes pueden permitírselo, como comprar un teléfono celular.
• Pequeño y ligero, fácil de transportar y usar, ideal para emergencias clínicas, inspecciones de salas de hospital, clínicas comunitarias e inspecciones en exteriores.
• Conexión inalámbrica a tableta o smartphone, fácil de usar en cirugía sin necesidad de cables. Además, la funda protectora desechable facilita la esterilización de la sonda.
Fácil de usar
- Puedes usar tu dispositivo personal, como tu iPhone o iPad, para instalar la aplicación. No necesitas comprar un dispositivo especial.
- Arranque en un segundo y entre en estado de funcionamiento inmediatamente.
- Operación simple, curva de aprendizaje corta para personas sin experiencia en ultrasonido.
- Alta integración, tamaño pequeño, solo 150 g, se puede colocar en el bolsillo, fácil de transportar.
Cómo funciona
Condensamos la máquina de ultrasonido convencional en una pequeña placa de circuito incorporada en la sonda, pequeña y liviana, y que muestra la imagen en la aplicación instalada en el teléfono inteligente/tableta a través de Wifi (wifi interno de la sonda, sin necesidad de señal Wifi externa) o transferencia USB.
- Haga que el ultrasonido sea más fácil y eficiente de utilizar.
- Proporcionar imágenes visuales durante cualquier procedimiento clínico.
Diseño a prueba de agua
- Para evitar infecciones cruzadas, diseñamos especialmente todo el diseño de sellado, que es conveniente para limpiar y desinfectar.
- Puede reducir los accidentes médicos causados por infecciones cruzadas, protegerlo a usted y a los pacientes y reducir los gastos relacionados con el hospital.
Ultrasonido inteligente
El escáner de ultrasonido portátil más pequeño con dos sondas lo hace práctico para sostener/escanear y guardar en un bolsillo. Puede llevarlo de una oficina a otra.
- Puede escanear desde la cabeza y el corazón hasta los pies utilizando una sola sonda.
- Puede cargar la sonda con un cargador inalámbrico.
Ecógrafo Portátil SonoHealth D2CP
Modelo
D2CP
Tipo de sonda
-
Sonda en fase
-
Sonda lineal
Ángulo / Longitud de escaneo
-
Convexo: 80°
-
Lineal: 25 mm
Frecuencia
-
Sonda en fase: 2,2 / 3,6 MHz
-
Sonda lineal: 7,5 / 10 MHz
Modos de escaneo
B, B/M, Color, PW
Profundidad de escaneo
-
Fase: 90 – 190 mm
-
Lineal: 20 – 100 mm
Ajustes de imagen
Ganancia, Profundidad, DR, Enfoque, SRI
Mediciones disponibles
-
Longitud, área, velocidad, FC, S/D
-
LVIDd, LVIDs, EF, SV
-
Medición automática de vaso (TAMEAN, caudal, diámetro)
Asistencia en punción
-
Línea guía en plano
-
Línea guía fuera de plano
-
Mejora de aguja
Rendimiento
-
Velocidad de imagen: 24 fps
-
Cineplay: >50 imágenes
-
Guardado: JPG, DICOM, mp4
Alimentación
-
Batería de litio incorporada
-
Carga inalámbrica o USB: 1,5 h
-
Trabajo continuo: 1,5 h
Conectividad
-
WiFi: 802.11n / 2.4G / 5G
-
USB (opcional)
Dimensiones y peso
-
126 x 53 x 19 mm
-
150 g
Ventajas
-
Alta rentabilidad: accesible incluso para estudiantes.
-
Compacto y ultraligero (150 g), portátil, cabe en un bolsillo.
-
Conexión inalámbrica a smartphone o tableta, ideal para cirugía y emergencias.
-
Fácil de usar: arranque en 1 segundo, curva de aprendizaje corta.
-
Diseño a prueba de agua, seguro y fácil de esterilizar con fundas protectoras desechables.
-
Escaneo de cuerpo completo: desde la cabeza y el corazón hasta extremidades.
-
Almacenamiento flexible en JPG, DICOM o video mp4.
-
Carga inalámbrica o USB, práctica y rápida.






