Ucan
La serie Ucan de ecógrafos inalámbricos portátiles representa la nueva generación de ultrasonido inteligente, integrando tecnologías clave como transmisión inalámbrica avanzada, adquisición multicanal de alta precisión y diagnóstico asistido por IA, lo que permite obtener imágenes claras y consistentes en cualquier entorno clínico. Su innovador sistema de emisión punto a punto optimiza el enfoque y mejora la definición de estructuras anatómicas tanto superficiales como profundas.
Gracias a su capacidad para alternar entre múltiples bandas de frecuencia, los ecógrafos Ucan cubren una amplia variedad de aplicaciones, incluyendo abdomen, partes blandas, músculo-esquelético, vascular, obstetricia, ginecología, urología y emergencias. Esta versatilidad permite a los profesionales realizar evaluaciones rápidas, precisas y sin cables, incluso en atención domiciliaria o en clínicas móviles.
El diseño compacto y portátil del sistema Ucan facilita su uso con smartphones, tablets o monitores dedicados, ofreciendo una experiencia intuitiva y eficiente. Su integración con herramientas de IA permite sugerencias de medición, reconocimiento de patrones y optimización automática de imagen, elevando la calidad diagnóstica en cada examen. La serie Ucan es una solución moderna, confiable y accesible para profesionales que buscan ecografía avanzada en cualquier lugar.
Departamento de Aplicaciones
Urgencias, Anestesiología, Intervencionismo, Rehabilitación, UCI, Dolor, etc.

Aplicación de la experiencia
Acceso vascular (colocación de catéter central de inserción periférica (PICC), guía de punción arteriovenosa para hemodiálisis y monitorización postoperatoria)
MSK (Clínica plástica y estética, rehabilitación, reumatología, medicina deportiva)
Bloqueo nervioso (anestesia, dolor)
Tiroides Mama ( Guía de ablación por punción )
Evaluación rápida de lesiones torácico-abdominales
Prueba de prevención cardiovascular
Inteligencia
Rastreo automático
Autorreconocimiento y automedición de IMT
Optimización automática con una sola tecla
Pantalla completa con una sola tecla
Admite perforaciones multiángulo en el plano y perforaciones centrales fuera del plano.
Transmisión simultánea ilimitada de audio y video sin demoras ni retrasos
Transductores
Sonda convexa C10
Sonda lineal C20
Sonda de matriz en fase C30
Sonda microconvexa C40
Sonda lineal de alta frecuencia C50

Inteligencia
![]() |
![]() |
![]() |
![]() |
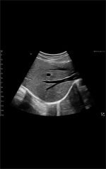
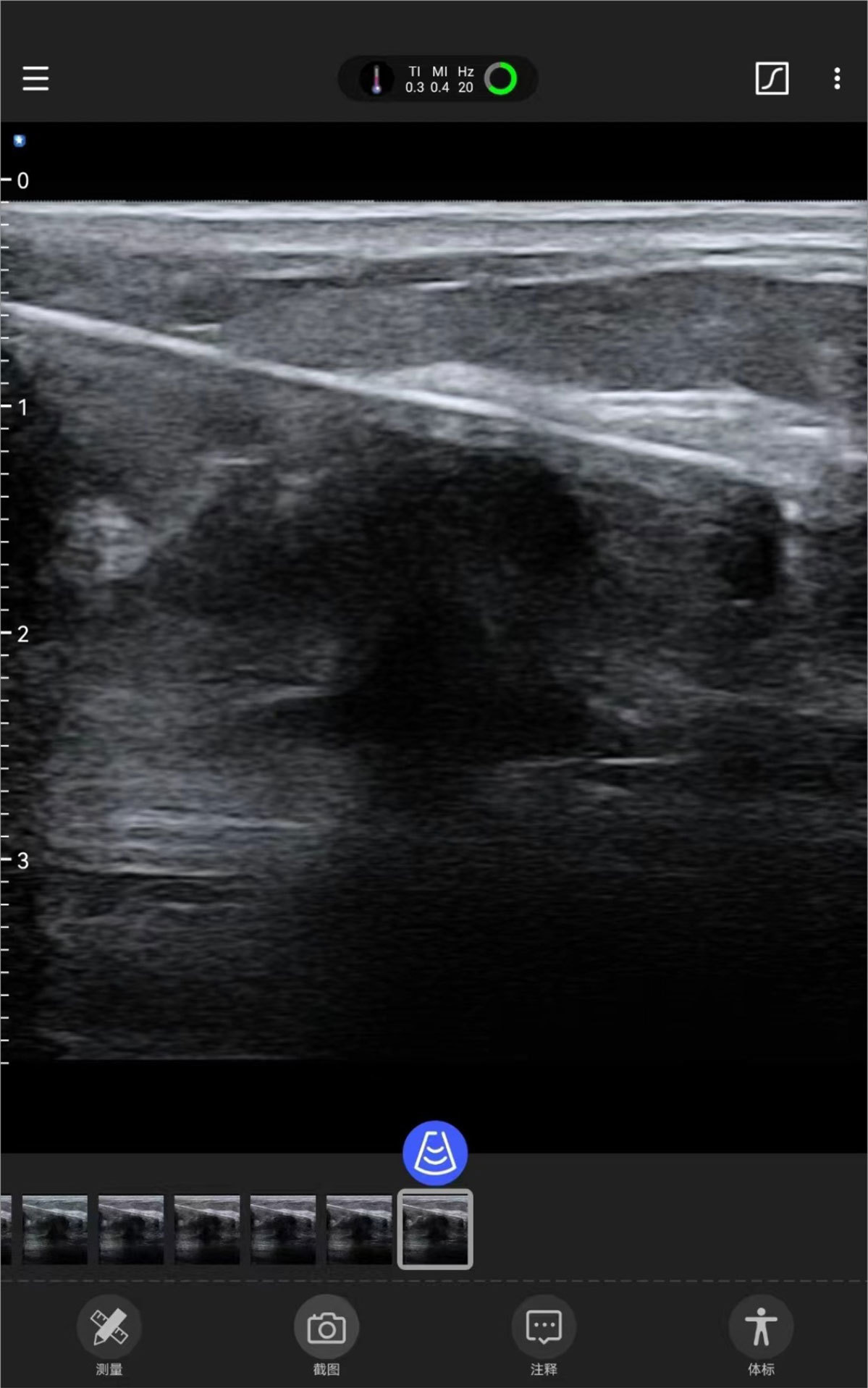
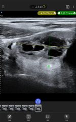
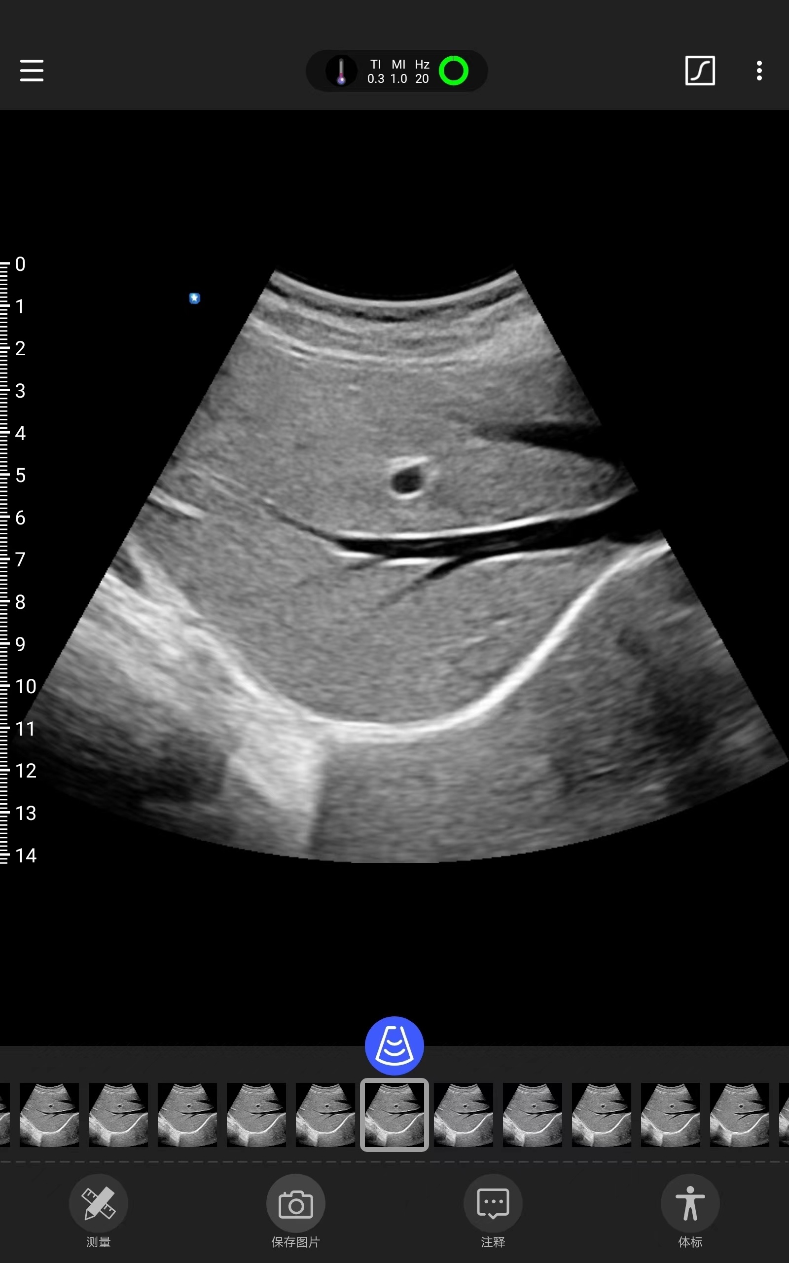
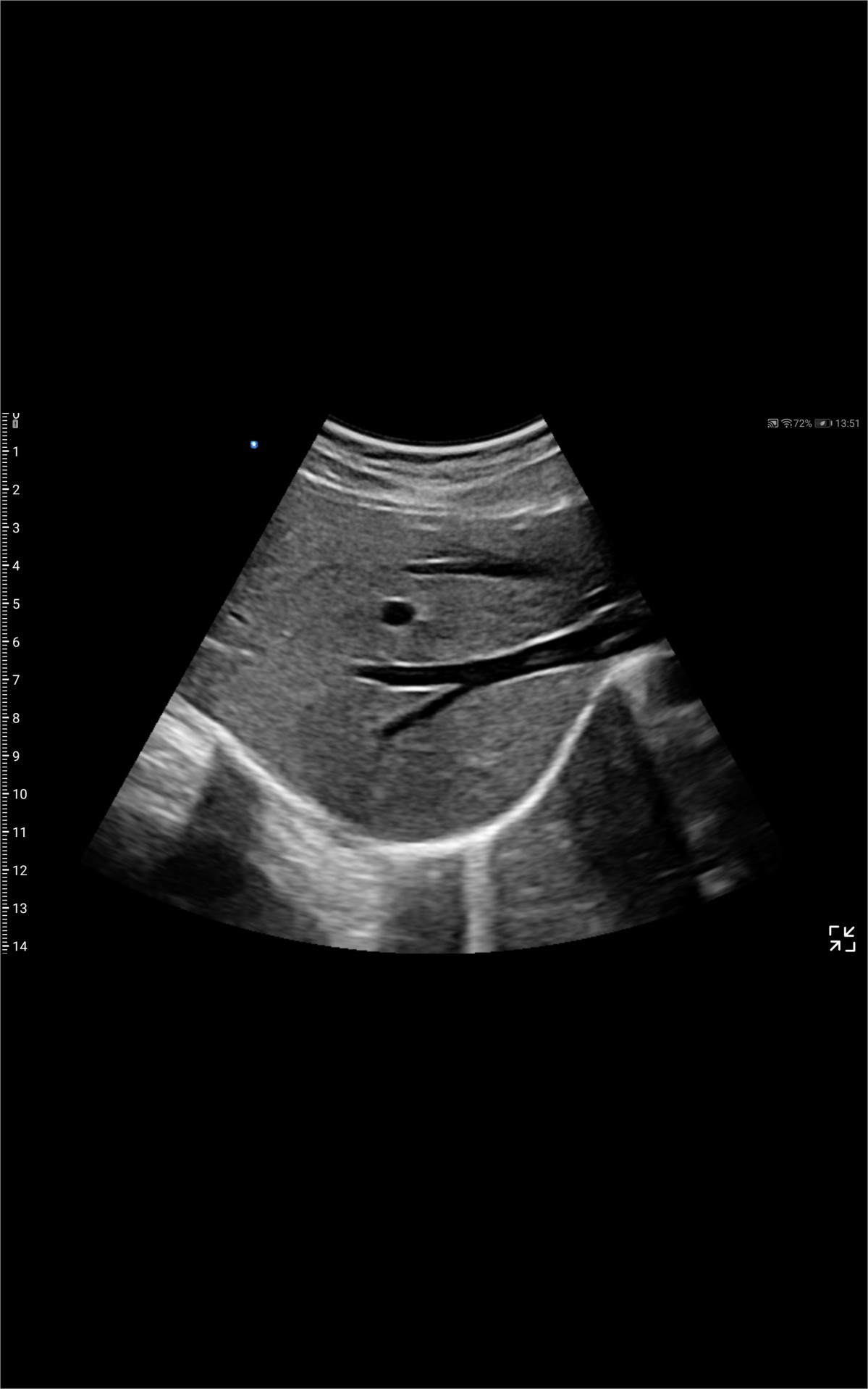
Galería de demostración
|
|
|
|
![]() |
![]() |
![]() |
![]() |








