V5L
-
El ultrasonido de color de palma integrado todo en uno es una solución avanzada diseñada para ofrecer imágenes clínicas precisas en un formato compacto, portátil y completamente autónomo. Su sonda incorporada elimina la necesidad de cables externos, mejorando el control de infecciones y permitiendo un uso seguro en emergencias, cuidados críticos y entornos estériles. Gracias a su pantalla táctil integrada, el equipo funciona sin tablets ni dispositivos adicionales, facilitando un flujo de trabajo rápido y eficiente en el punto de atención (POCUS).
Este ultrasonido incorpora tecnología de mejora de punción, lo que aumenta la precisión en procedimientos guiados como cateterismos, biopsias o accesos vasculares. Su diseño sellado permite remojos breves y desinfección completa, cumpliendo los requisitos modernos de control de infecciones hospitalarias.
Ligero, resistente y altamente portátil, es ideal para médicos, paramédicos, clínicas móviles, atención domiciliaria y hospitales que buscan un equipo confiable y fácil de esterilizar. Su interfaz intuitiva garantiza un uso cómodo incluso en situaciones de alta demanda, convirtiéndose en una herramienta esencial para diagnósticos rápidos y procedimientos seguros.
Especificación
| Modelo | V5L |
| Mostrar | Pantalla LCD integrada de 3 pulgadas y también compatible con pantalla de teléfono o tableta. |
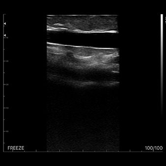
| Tipo de sonda | Matriz lineal |
| Ángulo/longitud de escaneo | 30 mm |
| Frecuencia | 7/10 MHz |
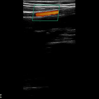
| Modo de escaneo | B, Color, PW, Volume |
| Profundidad de la pantalla | 20~60 mm |
| Ajuste de imagen | Ganancia, Profundidad, DR, Enfoque, SRI, Armónico |
| Medida | Longitud, área, velocidad, FC, desviación estándar (S/D), medición automática de vasos sanguíneos |
| Función de asistencia en caso de pinchazo | Línea guía de punción en el plano, línea guía de punción fuera del plano, mejora de la aguja |
| Velocidad de fotogramas de la imagen | 24 fotogramas por segundo |
| Cinplay | >50 años |
| Fuerza | Batería de litio incorporada, carga USB 3 h, funcionamiento 3 h |
| Sistema de trabajo | Androide |
| Tipo de wifi | 802.11n / 2.4G/5G |
| Dimensión | 150x53x22mm |
| Peso | 185 gramos |

Fácil de usar
- Arranque en un segundo y entre en estado de funcionamiento inmediatamente.
- Operación simple, curva de aprendizaje corta para personas sin experiencia en ultrasonido.
- Alta integración, tamaño pequeño, solo 185 g, se puede colocar en el bolsillo, fácil de transportar.

Cómo funciona
Condensamos la unidad principal en una pequeña placa de circuito incorporada en la sonda, pequeña y liviana, y que muestra la imagen en la aplicación instalada en el teléfono inteligente/tableta a través de Wifi (wifi interno de la sonda, no necesita señal Wifi externa) o transferencia USB.
- Haga que el ultrasonido sea más fácil y eficiente de utilizar.
- Proporcionar imágenes visuales durante cualquier procedimiento clínico.
Inteligente
- Control inteligente: operación con una sola mano, fácil de aprender y usar.
- Preajuste inteligente, memoria inteligente.
- Medición inteligente: diámetro de los vasos, velocidad del flujo y volumen sanguíneo.
Innovador
- Pantalla dual: la pantalla incorporada y la pantalla móvil conectada de forma inalámbrica se pueden mostrar al mismo tiempo y varias personas pueden observarlas.
- Diseño de sellado completo: se puede remojar y desinfectar brevemente para fortalecer el control de infecciones.
- Carga inalámbrica: carga en cualquier lugar.
Ecógrafo Portátil SonoHealth V5L
Especificaciones principales
-
Modelo: V5L
-
Pantalla: LCD integrada de 3" + compatible con smartphone/tableta (iOS, Android)
-
Tipo de sonda: Matriz lineal
-
Ángulo / longitud de escaneo: 30 mm
-
Frecuencia: 7 / 10 MHz
-
Modos de escaneo: B, Color, PW, Volume
-
Profundidad de pantalla: 20 – 60 mm
-
Ajustes de imagen: Ganancia, Profundidad, DR, Enfoque, SRI, Armónico
-
Mediciones: Longitud, área, velocidad, FC, desviación estándar (S/D), vasos sanguíneos automáticos
-
Asistencia en punción: Línea guía en plano / fuera de plano, mejora de aguja
-
Velocidad de imagen: 24 fps
-
Almacenamiento (Cineplay): >50 imágenes
-
Batería: Litio incorporada, carga USB (3 h), hasta 3 h de funcionamiento
-
Conectividad: WiFi 802.11n (2.4G / 5G), USB
-
Sistema de trabajo: Android
-
Dimensiones: 150 × 53 × 22 mm
-
Peso: 185 g
Características destacadas
-
Todo en uno: pantalla táctil integrada, sonda incorporada y funcionamiento independiente.
-
Pantalla dual: puede usarse en su propia pantalla y en un dispositivo móvil en simultáneo.
-
Técnica avanzada de punción: mayor seguridad y precisión.
-
Diseño sellado completo: permite desinfección rápida y control de infecciones.
-
Portátil, pequeño y ligero (185 g).
-
Arranque instantáneo, fácil uso incluso para principiantes.
-
Alta integración, se puede guardar en el bolsillo.
Funcionalidades inteligentes
-
Operación con una sola mano.
-
Preajustes y memoria inteligente.
-
Medición automática de vasos: diámetro, velocidad del flujo y volumen sanguíneo.
-
Carga inalámbrica y por cable.
Aplicaciones
-
Procedimientos clínicos en punto de atención.
-
Uso en quirófanos y urgencias (sin cables).
-
Control de infecciones gracias a su sellado completo.
-
Observación simultánea en varias pantallas (médico + equipo).





