Blog
FAST y E-FAST con ecógrafo inalámbrico sondas 3-en-1 | MODELOS: 6CL y 8CL
Aplicación clínica avanzada con los modelos: B.S.D. 8CL y B.S.D. 6CL
Ecógrafo Portátil 3 en 1
La ecografía enfocada en trauma (FAST) es actualmente una herramienta esencial en urgencia, UCI y atención prehospitalaria. Su evolución hacia E-FAST permite integrar evaluación pleuropulmonar en el mismo protocolo.
La disponibilidad de dispositivos inalámbricos 3-en-1 con tecnología multipropósito (convexo, lineal y sectorial integrados) permite ejecutar el protocolo completo sin recambio de transductores, optimizando tiempos críticos en escenarios de inestabilidad hemodinámica.


1. Definición clínica precisa
FAST (Focused Assessment with Sonography for Trauma)
Evaluación ecográfica dirigida para detectar:
-
Hemoperitoneo
-
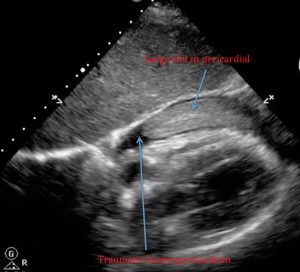
Derrame pericárdico traumático
E-FAST (Extended FAST)
Amplía la evaluación para detectar:
-
Neumotórax
-
Hemotórax
Punto crítico:
FAST es una herramienta de decisión, no de diagnóstico definitivo.
Un FAST negativo no excluye lesión intraabdominal.

2. Fundamento fisiopatológico
En trauma cerrado o penetrante, el sangrado intraperitoneal tiende a acumularse en los espacios declives:
-
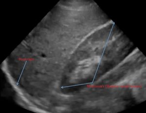
Receso hepatorrenal (Morrison)
-
Espacio esplenorrenal
-
Pelvis (Douglas o rectovesical)
La ecografía identifica líquido libre como colección anecoica en estos espacios.
En tórax, la evaluación pleural busca alteración del deslizamiento pulmonar y presencia de líquido supradiafragmático.
3. Aplicación con ecógrafo inalámbrico 3-en-1
B.S.D. 6CL y B.S.D. 8CL integran:
-
Modo Convexo → abdomen
-
Modo Sectorial (phased) → corazón
-
Modo Lineal → pleura
Esto permite ejecutar FAST/E-FAST sin interrupciones operativas.

4. Protocolo técnico estructurado
4.1 Ventana hepatorrenal (RUQ)
Modo: Convexo
Profundidad: 18–24 cm
Buscar:
-
Banda anecoica entre hígado y riñón
-
Líquido subhepático
-
Líquido suprahepático (hemotórax)
Es la ventana con mayor sensibilidad en trauma abdominal.
4.2 Ventana esplenorrenal (LUQ)
Modo: Convexo
Exploración más posterior que RUQ.
Buscar:
-
Colección periesplénica
-
Líquido subdiafragmático izquierdo
4.3 Ventana pélvica
Modo: Convexo
Cortes transversal y longitudinal.
Buscar:
-
Líquido posterior a vejiga
-
Acúmulo en fondo de saco
La sensibilidad aumenta con vejiga moderadamente distendida.
4.4 Ventana pericárdica
Modo: Sectorial
Profundidad: 18–22 cm
Buscar:
-
Derrame anecoico pericárdico
-
Signos indirectos de compromiso hemodinámico (según entrenamiento)
4.5 Evaluación pleural (E-FAST)
Neumotórax
Modo: Lineal
Profundidad: 3–5 cm
Evaluar:
-
Deslizamiento pleural
-
Artefactos A/B
-
Lung point si identificable
5. Interpretación clínica estructurada
FAST positivo + inestabilidad hemodinámica
→ Alta sospecha de hemorragia activa
FAST negativo + inestabilidad
→ No descarta lesión. Considerar TAC o evaluación seriada.
E-FAST positivo en pleura
→ Sugiere neumotórax o hemotórax clínicamente relevante.

6. Limitaciones
-
Menor sensibilidad para lesiones retroperitoneales
-
Puede ser negativo en sangrados iniciales
-
Operador dependiente
-
No sustituye imagenología avanzada en paciente estable
7. Ventajas operativas del sistema inalámbrico
-
Un solo transductor multipropósito
-
Portabilidad real en ambulancias
-
Implementación rápida en triage
-
Reducción de tiempo entre ventanas
-
Adecuado para programas de formación POCUS
8. Aplicaciones clínicas en Chile
-
Servicios de urgencia hospitalaria
-
Unidades de paciente crítico
-
Atención prehospitalaria avanzada
-
Clínicas privadas sin TAC inmediato
-
Formación universitaria en medicina de urgencia
Conclusión
La integración de FAST/E-FAST mediante un ecógrafo inalámbrico 3-en-1 permite una evaluación sistemática del paciente traumatizado en menos de 5 minutos, mejorando la toma de decisiones en escenarios de alta complejidad.
El valor clínico radica en la rapidez diagnóstica inicial y la optimización del flujo asistencial, no en sustituir estudios confirmatorios avanzados.